60-річний чоловік із Польщі звернувся за медичною допомогою через небезпечно високий рівень кальцію в крові, який лікарі зрештою пов’язали з десятиліттями нерегульованих м’язових ін’єкцій. Цей випадок, нещодавно описаний у медичних звітах, підкреслює рідкісний, але серйозний наслідок використання синтолу: тривалий системний витік кальцію.

Стан пацієнта

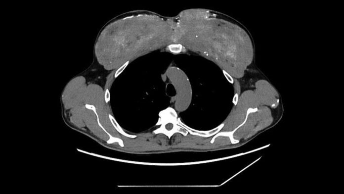
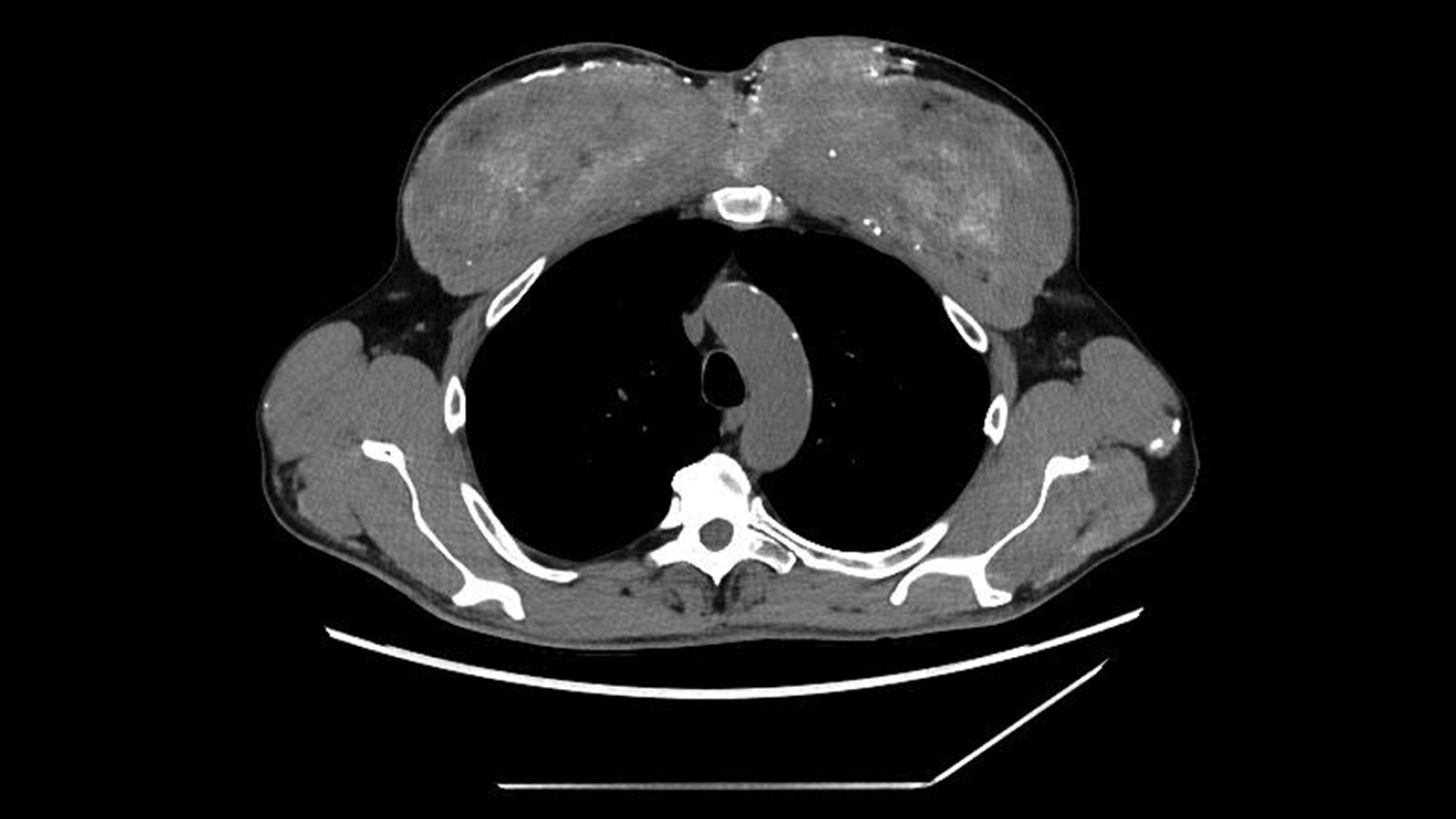
Спочатку пацієнт звернувся за допомогою до блювоти та незрозумілої втрати ваги. Аналізи крові показали ниркову недостатність і критично підвищений рівень кальцію. Візуалізація показала поширені відкладення кальцію в основних органах, включаючи нирки, підшлункову залозу та шлунок, а також кальцифіковані аномалії в грудних м’язах. Незважаючи на початкове лікування для зниження рівня кальцію, вони знову зросли, що призвело до госпіталізації у нефрологічне відділення.

Відкриття ключа

Прорив стався, коли пацієнт повідомив, що протягом 30 років самостійно робив собі внутрішньом’язові ін’єкції, які нібито містять тестостерон, у груди та плечі для штучного збільшення м’язів. Незважаючи на те, що ін’єкції припинилися два роки тому, їх дія збереглася. Подальші дослідження виключили загальні гормональні розлади, рак і аутоімунні захворювання, вказавши на унікальну основну причину.

Синтол як винуватець

Біопсія м’язів підтвердила наявність маслянистої речовини, що відповідає синтолу, агенту, що збільшує м’язову масу, що містить переважно тригліцериди середнього ланцюга. Тіло пацієнта відреагувало на неперетравлену олію, спричинивши хронічне запалення, рубці та, зрештою, великі відкладення кальцію в м’язовій тканині. З часом цей кальцій просочується в кров, викликаючи важку гіперкальціємію.

Лікування та наслідки

Медична група дійшла висновку, що хірургічне видалення кальцифікованого м’яза було найнадійнішим довгостроковим рішенням, як було показано в попередніх випадках. Однак у звіті не вказано, чи пацієнт проходив цю процедуру. Цей випадок додає все більше доказів того, що ін’єкції синтолу, незважаючи на їх доступність, можуть мати руйнівні, довгострокові ускладнення. Раніше було зареєстровано лише два випадки зв’язку синтолу з високим рівнем кальцію, обидва з Лівану.

Велика картина

Хоча синтол продається як косметичний засіб, він несе серйозні ризики, включаючи деформацію м’язів, хронічні рани та системне запалення. Цей випадок демонструє, що навіть припинення вживання може призвести до довготривалих криз здоров’я. Відстрочений початок дисбалансу кальцію підкреслює необхідність підвищення обізнаності як серед користувачів, так і серед медичних працівників.

У звіті про випадок підкреслюється, що ін’єкції синтолу можуть спричинити підвищення рівня кальцію в сироватці крові навіть через роки після використання, що вказує на потенціал речовини для серйозних довгострокових ускладнень.